講座の特徴
Feature
私たちの生体内では、生命活動の維持に不可欠な多様な生体分子が精密かつ動的に相互作用し、高度に制御された生命現象を構築しています。なかでも口腔組織は、機械的刺激や病原体の侵入といった外的ストレスに常時さらされながらも、バリア機能や免疫応答、修復機構を介して恒常性を維持しています。
生化学は、体内および口腔領域における生体分子の構造や機能、相互作用を分子レベルで解明し、分子生物学、組織学、免疫学、代謝学と連携しながら生命現象を統合的に理解する学問です。これは、歯科臨床における科学的根拠に基づく医療の実践のみならず、基礎研究による病態解明においても不可欠な基盤を提供します。
本講座では現在、以下のような研究課題に取り組んでいます。
- 免疫制御分子が関与する多様な口腔関連疾患において、炎症応答や免疫寛容機構の破綻に至るシグナル伝達経路の解明を通じて、病態形機序の分子的基盤を探る研究
- 口腔内異常を伴う遺伝性疾患患者由来のiPS細胞を作製し、分化誘導を通じて病態の細胞・分子レベルでの解明を目指す研究
教育
Education
生化学の授業では、2学年で生体を構成する物質やその代謝機構を学び、3学年では口腔内における生命現象を、生化学・分子生物学・細胞生物学の視点から捉え、歯科臨床医学の基礎を体系的に修得します。
生化学の概念は実験と考察の積み重ねによって構築されており、実習ではその理念を理解するために、実験計画の立案から正確な操作・観察、得られたデータの解析までを自ら行い、論理的思考力を養います。あわせて、バイオインフォマティクスの基礎的理解も深めます。
研究
Research

免疫応答の制御から読み解く口腔領域の炎症研究
本講座の研究の特徴は、免疫細胞の働きに着目し、歯周炎や皮膚炎などの疾患モデルを用いて炎症反応や骨代謝異常の仕組みを分子レベルで解析している点にあります。基礎生化学・免疫学的視点と口腔領域の疾患研究を融合させ、病態理解と歯科医療への応用につながる研究を推進しています。
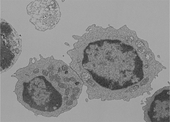
1.歯周炎・皮膚炎モデルを用いた免疫反応とエネルギー代謝の研究
本講座では、歯周炎や皮膚炎のモデルを用いて、免疫細胞がエネルギーの使い方を変えながら炎症反応を引き起こす仕組みを研究しています。特に、細胞内のエネルギー産生を担うミトコンドリアや、その機能に関わる分子(TSPO)に注目し、T細胞やマクロファージの活性化や増殖がどのように制御されるのかを解析しています。これらの研究を通じて、炎症を適切に調節する新たな分子メカニズムの解明を目指しています。
2.口腔領域における炎症と骨代謝の仕組みの解明
歯周炎などの口腔疾患では、炎症が長期化することで歯を支える骨が失われます。本講座では、免疫細胞やサイトカインと呼ばれる情報伝達物質が、口腔組織の炎症や骨吸収にどのように関与するのかを解析しています。また、歯科治療で使用される金属材料が口腔内で引き起こす生体反応についても研究し、安全で信頼性の高い歯科医療につながる知見を発信しています。
3.疾患特異的iPS細胞を用いた口腔関連疾患研究
口腔内異常を伴う遺伝性疾患由来のiPS細胞を用い、細胞の分化や機能の変化を解析することで、病態の成り立ちを細胞・分子レベルで明らかにする研究を行っています。