講座の特徴
Feature
保存修復学は、齲蝕や形態学的・色彩学的な異常、あるいは外傷などで生じた歯の硬組織の欠損に対し、解剖学的・機能的・審美的に修復することで顎口腔の機能を回復させることを目的とした学問です。主体となる疾患は齲蝕ですが、齲蝕を的確に診断、治療することにより、進行の抑制ならびに再発の予防を実現し、歯髄を齲蝕から保護するという流れが基本となり、言わば歯科の本流中の本流となる学問です。
以前の治療は齲蝕により着色した部分は徹底的に除去して充塡、修復することが基本となっていましたが、近年では齲蝕学の発展と歯科接着技法や材料の進歩に伴って、齲蝕であっても細菌感染していない部分は除去せず、最小限の侵襲による治療(minimal intervention)が中心となっています。
小児の齲蝕が減少している一方で超高齢社会となった現在では根面齲蝕が新たな課題となってきており、高齢者の齲蝕の管理と制御を行ない、Quality of life (QOL)の向上に貢献できるのも保存修復学の役割となってきています。
当講座のスタッフはこれらがしっかり行えるように日々の臨床、教育、研究に取組んでいます。
教育
Education


卒前教育として、第3学年前期・後期に講義、第3学年後期に臨床基礎実習を行い、第5学年・第6学年で臨床実習、総合講義を担当しています。このうち、第3学年での講義では、歯の硬組織疾患の病因や病態を学び、この知識をもとにこれらの疾患に対する診察、検査、診断、治療および術後の口腔健康管理手法を学修します。第3学年後期に行う臨床基礎実習では、上記の知識をもとにマネキンや模型を用いて修復技法を習得していきます。第5学年の臨床実習は診療参加型臨床実習のスタイルで行い、講義や基礎実習で修得した知識・技能を確認、実践のみならず、歯科医師としてあるべき診療態度を修得します。
保存修復学を理解するためには歯の解剖学、組織学、微生物学、病理学、理工学、口腔衛生学といった関連科目の知識を充分に理解していることが要求されます。当講座での臨床、教育、研究は上記の科目を統合的に考えるようなスタイルで行います。
卒後教育としては、歯科医師臨床研修プログラムに積極的な参画を行うとともに、その後の卒後臨床教育を通じて日々発展し続けている治療技術や新規材料に関する情報を含めて知識の統合を図ります。また臨床研修歯科医でも気軽に参加できるセミナーも開催しており、日々の臨床に仕える基本的な手技を教育しています。
研究
Research


当講座は英語名称を Department of Operative Dentistry、 Cariology and Pulp Biologyとしており、その名称が示すように材料研究、齲蝕研究、歯髄生物学研究を中心に研究を進めています。
いずれの分野においても歯科臨床における疑問に対して仮説をたてて、その仮説を証明するために様々な手技・手法を用いて研究を行っています。研究成果が臨床に必要な学問的裏付け、臨床のエビデンスとなることを目指して日々、活動しています。
主な課題は以下のものです。
材料研究
- レーザーの歯科臨床応用
- 修復材料および歯質の色彩学的検討
- 接着性修復における歯質・修復材料の接着機構およびその長期安定性
齲蝕研究
- アブフラクションの成立機構
- マイクロCTの歯科研究への応用
- 歯質の脱灰抑制・再石灰化促進の機序と対応
象牙質・歯髄複合体の研究
- 歯髄のダメージ回復機構
- 歯髄幹細胞の分化、増殖
- 歯髄細胞における細胞間結合装置の役割
- 歯髄血管再生療法の創傷治癒
臨床
Clinical


当講座のスタッフは東京歯科大学水道橋病院(保存科)、千葉歯科医療センター(一般歯科系保存科)において、専門性を生かした高度な歯科医療を提供すべく、日常臨床に従事しています。
具体的には、以下の内容に力を入れています。
- 齲蝕は内因性感染症であるという考えに基づいた治療
- 個々の患者様の齲蝕リスクに応じた検査と予防、管理
- 初期齲蝕に対する再石灰化を期待した処置
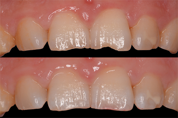
- MI(Minimal Intervention)の概念に基づいた、必要最小限の歯質切削での修復治療
- 極力、直接修復による治療
- レーザーを用いた歯科治療
- 各種歯科材料の特性を最大限に生かした審美修復治療