講座の特徴
Feature
患者さんのQOL向上につながる歯周病の予防・治療を目指して
その実現に向けて研究にも力を注ぎ、得られた知見を臨床へと活かしています。
こうした実践を通じて歯周病治療の質の向上を図り、その成果を社会に還元するとともに、将来の歯科医療を支える人材の育成に取り組んでいます。
教育
Education
高度な臨床・研究力を備えた歯周病専門医および歯科界のリーダーたる人材の育成
歯周病治療を科学的に理解し、自ら判断し、患者さんに説明できる歯科医師の育成を目標としています。
歯周病治療を「理解する」「実践する」「指導する」という段階的な成長プロセスを重視し、知識の修得にとどまらず、臨床で実践し、最終的には後進を指導できるレベルへと到達することを目指します。
卒前教育では、歯周病およびその予防・治療を理解するために、基礎的な知識と治療の考え方を修得することを目指します。
卒後・大学院教育では、臨床と研究をバランスよく行い、自身の研究や最先端の学術論文から得られた知見を、実臨床に応用する力を養います。
研究
Research


歯周病予防・治療のための基礎・臨床研究の推進
歯周病の予防および治療の向上につながる基礎・臨床研究を幅広く展開しています。
歯周病の発症・進行・治癒に関わる分子・細胞レベルの生体反応を解明するとともに、歯周組織再生療法の治療効果成績やその長期予後を臨床研究により検証しています。
基礎研究では、歯周病原細菌と宿主との相互作用、炎症・免疫応答の制御機構に着目し、新たな歯周病治療標的の探索を行っています。
また、骨粗鬆症や糖尿病、喫煙などの全身的・環境因子が歯周組織破壊や治癒に及ぼす影響についても、実験モデルを用いて検討しています。
臨床研究では、成長因子や骨補填材などを用いた歯周組織再生療法を中心に、基礎研究の知見と連動した研究を遂行し、安全かつ科学的根拠に基づいた予知性の高い歯周病治療の確立を目標としています。
研究テーマ
- 歯周病原細菌と宿主免疫応答の相互作用の解明
- 歯周組織再生療法に関する基礎および臨床研究
- 全身疾患・生活習慣因子が歯周組織治癒に及ぼす影響
- 歯周病原細菌の病原因子および遺伝子制御機構の解析
- 歯周病の重症度評価および長期予後を見据えた臨床研究
臨床
Clinical


質の高い包括的な歯周病予防・治療の提供による社会貢献
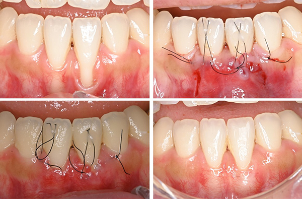
臨床では、歯周病の予防から治療、メインテナンス・SPTに至るまでの包括的な歯周病ケアを実践しています。
患者一人ひとりの病態やリスク因子を的確に評価し、歯周基本治療を軸とした上で、必要に応じて歯周組織再生療法や歯周形成手術を含めた歯周外科治療を実施しています。
歯周病は慢性的に進行する疾患であるため、短期的な症状改善にとどまらず、長期的な予後を見据えた継続的な管理が重要です。当講座ではメインテナンス・SPTを重視し、治療後の口腔環境の安定と再発予防に取り組んでいます。
さらに、基礎・臨床研究で得られた知見を診療に反映し、歯周病専門医療を通じて、地域医療の質の向上ひいては社会全体の口腔健康の向上に貢献することを目指しています。