保存科
03-5275-1721~1722
診療科のご案内
こんな悩みをお持ちの方は、当院保存科を受診ください。
主な来院理由は
- 冷たい物や温かい物を口に含むと歯がしみる。
- 歯の一部分が黒くなっている。
- 歯が欠けている。
- 昔に治療した詰め物がとれてしまった。
- 虫歯によって穴があいている。
- 浮いている感じがする歯がある。
- 物を噛むと痛い。
- 歯肉が赤く腫れている。ブラッシングすると歯肉から出血してくる。
- 歯が少し揺れている。
です。
主な対象疾患と治療内容
- 小さな虫歯(上記①~④):
虫歯菌に侵されてしまった部分を削り取り、歯に似た色のプラスチックや金属の詰め物もしくは他の材料の詰め物で修復します。 - 「A.」よりも大きな虫歯(上記⑤):
虫歯によって歯が大きく崩壊し、虫歯菌が歯の神経に達してしまった場合、放っておくと痛みがひどくなることがあります。痛みがひどくなった場合は、歯の神経をとる治療が必要になります。 - 根の病気(上記⑥⑦):
歯の根の中が細菌に感染していると思われます。根の中の感染部分を取り除き、薬で消毒することで細菌を除去します。 - 歯周病(上記1-⑦⑧):
歯周病の主な原因はプラークや歯石です。まずは、正しいブラッシングをきちんと身につけてもらい、治療効果が上がるように環境を整えます。そして歯石を取り除き、他の原因があればそれに対して処置を行います。歯周病の状態によっては、再生療法でダメージを受けた歯周組織を回復させることが出来ます。
診療科の特色
歯科の病気の2大疾患である、「虫歯」と「歯周病」の治療を主に行うのが、保存科です。
(1)虫歯の治療
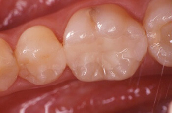
削った歯の型を採り、模型を作製して作るインレー修復は、上下の歯が効率よく食塊 を砕くための精密な接触形態を再現することが得意な修復法です。保険診療で用いる 材料は金属ですが、自由診療では歯と同じ色調のコンポジットレジンやセラミック(陶材)を用いることができます。


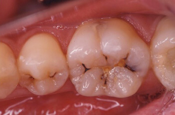
症例1:大、小臼歯の虫歯をセラミックインレーで修復しました。


症例2:小臼歯のアマルガム修復をセラミックインレーで再修復しました。
(2)根の中の治療
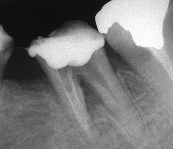
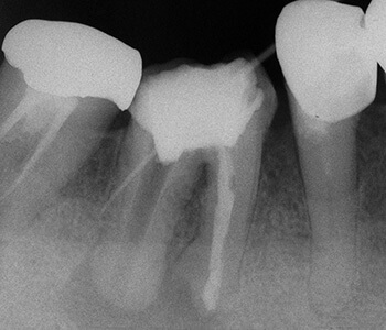
A.根管治療の予後不良(根の治療経過が思わしくない場合)
感染根管治療などの通常の治療を行っても、うまく治らないことも少なくありません。これらの原因としては、その歯の形態的な問題や、感染に関する問題、根の破折や偶発症の発生など様々なものがあります。このような歯では、通常の治療法だけでは治らないものも多く、外科処置などの特殊な治療法を行わなければならなかったり、やむを得ず抜歯に至ったりするケースもあります。いずれにせよ、通常の治療を続けても治りにくい場合は、精密な検査を行い再度診断する必要があります。

根の側壁に穴が開いて感染していることにより、前後の根の間の骨が吸収してなくなっています。

根の先端部分が著しく破壊しており、その周囲の骨もかなり吸収しています。
B.手術用顕微鏡を用いた治療
手術用顕微鏡を用いることにより、肉眼のみでは見ることのできないところを明確に観察しながら処置を行うことができます。このことにより診断や処置の精度をより向上させることができます。歯の根の治療では通常の治療を行っても症状が改善されない場合に、小さな根の先端部を外科的に切断除去したのち封鎖する手術(歯根端切除手術)を行うことがありますが、そのような精密な手術にも手術用顕微鏡はとても有効です。当院では、この歯根端切除手術を、診断精度の高いコーンビームCT(歯とその周囲のCT)と併用して行っています。

コーンビームCTにより高精度な画像診断ができます。
(3)歯周病の治療
歯周病とは、歯を支えている組織に炎症がおよび、歯が抜けてしまうだけでなく全身にも悪影響を及ぼす病気です。
正しい歯周治療を受けることにより歯が抜け落ちるのを防ぎ、自分の歯で食事することができます。


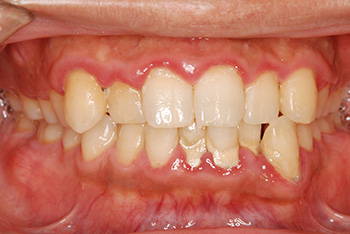
左:初診時。プラークが溜まりやすい不良な被せ物のせいで、歯肉が炎症を起こし赤く腫れています。
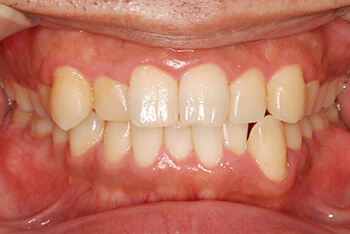
右:歯周治療が終了し被せ物を新しく作り直した後。赤く腫れていた歯肉は引き締まり、健康なピンク色に戻りました。
再生療法~
歯周病の進行により、歯を支えている骨は溶けてしまいます。通常、一度失った骨は元に戻りませんが、ケースによっては最新の再生療法によって歯周組織の回復が可能となりました。
①GTR法



歯周病によって失ってしまった歯周組織部位に、特殊な膜を挟み込むことによって歯周組織を再生させます。
②エムドゲイン法



歯周病によって失ってしまった歯周組織部位に、この特殊なジェルを塗布することで歯周組織を再生させます。




