補綴科
03-3262-3425~3426
診療科のご案内
こんな悩みをお持ちの方は、当院補綴科を受診ください。
主な来院理由は、
- むし歯や打撲で歯が欠けた
- 歯が抜けて咬めない
- 義歯を治したい・作りたい
- 義歯がゆるい・落ちやすい・発音しにくい・咬みにくい
- 歯の色が悪い
- 咬み合わせが気になる
- 金属を使わずに治療したい(金属アレルギー)
- 歯並びが悪い
- 保険ではできない治療を受けたい
です。
主な対象疾患と治療内容
補綴科では虫歯や歯周病によって歯を失った方にはブリッジ(固定性の義歯)や義歯を用いて、歯が欠けたりすり減ったりしている方には、土台となる歯の形を整えた後、クラウン(かぶせ物)を用いて機能や見た目の回復を行います。また、修理や調整も行います。その他、がんなどのために失った顎の一部を義歯により回復します。
診療科の特色
当科では一般的なクラウン・ブリッジ・義歯による治療の他に、次のような専門的な治療を行うことができます。(条件が合えば、短期間で完了する治療方法の選択も可能です。)
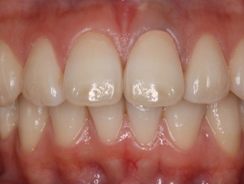
オールセラミッククラウン(ジャケットタイプ)
二ケイ酸リチウムガラスやジルコニアを使用したクラウンです。歯肉が黒ずみにくく、高い強度と生態親和性があります。金属を使用しません。
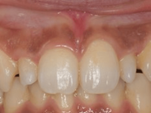
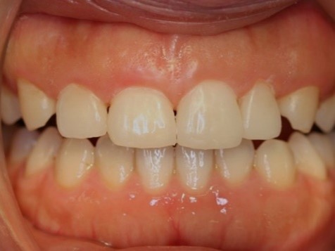
〈実際の症例:20代の女性。上顎前歯部への補綴治療〉
治療前
治療後
治療内容:上顎の前歯4本にオールセラミッククラウン(ジャケットタイプ)を被せ、審美的な回復をしました。
治療期間・回数:約6か月間、10回
費用(自由診療となります):484,000円
リスク・副作用:オールセラミッククラウンの脱離や破折、咬合違和感
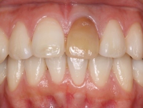
オールセラミッククラウン(前装タイプ)
ジルコニアに陶材を前装したクラウンです。歯肉が黒ずみにくく、高い強度と生態親和性があります。
天然歯同様の自然な仕上がりが期待できます。金属を使用しません。
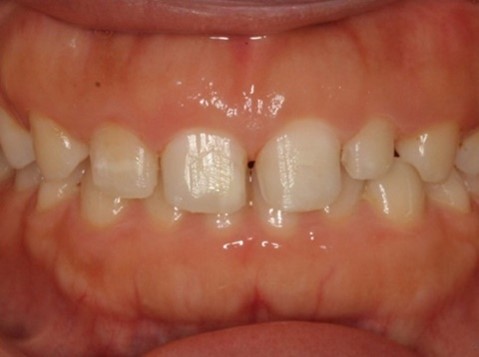
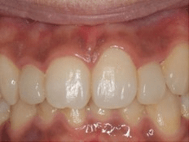
〈実際の症例:20代の女性。変色した上顎前歯の補綴治療〉
治療前
治療後
治療内容:変色した前歯にオールセラミッククラウン(前装タイプ)を被せ、審美的な回復をしました。
治療期間・回数:約3か月間、5回
費用(自由診療となります):143,000円
リスク・副作用:オールセラミッククラウンの脱離や破折、咬合違和感
ラミネートベニア
歯の表面をごくわずかだけ削って、歯の色をした薄いセラミックを貼り付けて見かけを改善する方法です。歯が変色や、歯と歯の間に少し隙間がある場合などに有効です。
〈実際の症例:20代の女性。上顎前歯の小さい歯への補綴治療〉
治療前
治療後
治療内容:上顎前歯の小さい歯にラミネートベニアを貼り付け、審美的な回復をしました。
治療期間・回数:約3か月間、5回
費用(自由診療となります):176,000円
リスク・副作用:ラミネートベニアの脱離や破折、咬合違和感
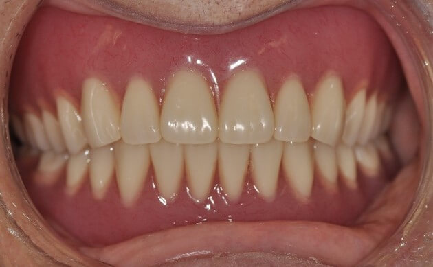
【総義歯による治療】
上下顎すべての歯を失った際に装着する義歯です。使用する材料、方法により様々なオプションがあります。
<症例>
78歳の男性。修理を繰り返した義歯で噛みにくくなったために総義歯治療を行った症例
治療前
治療後
治療内容:義歯の人工歯が摩耗していたうえに見た目にも支障があったため、旧義歯に代わって、BPS(生体機能的補綴システム)を利用して上下顎金属床義歯を製作しました。
治療期間・回数:約2か月間、5回
費用:800,000円(本症例は自由診療で診療を行いました)
リスク・副作用:経年的な顎骨の吸収に対する調整の必要性、義歯を装着している違和感など
レジン床義歯(総義歯)
歯肉に触れる部分がレジン(プラスチック)で作られた義歯です。多少厚みがあるため、熱が伝わりにくく、人によって装着時に違和感を生じることがあります。

・レジン床義歯は公的医療保険が適用されます。(公的医療保険が適用されない材料もあります)
金属床義歯(総義歯)
義歯の一部に金属を使用することで、薄く丈夫になります。金属部分の厚みは、1mm以下で、違和感が少なく温度の伝導性に優れるのが特徴です。

・金属床義歯は公的医療保険が適用されない自由診療です。ただし、金属床総義歯は保険外併用療養費の対象となる場合があります。
・費用:1装置330,000円~412,500円(使用する材料により費用が変わります)
BPS(生体機能的補綴システム)義歯
高品質な入れ歯の製作を目的とし、特殊な材料・システムによって製作される義歯です。来院回数が削減でき、衝撃に強く見た目にも優れるのが特徴です。

・BPS義歯は公的医療保険が適用されない自由診療です。
・費用:1装置495,000円~742,500円(使用する材料により費用が変わります)
コンフォート義歯
義歯の粘膜に接触する部分を特殊なやわらかいシリコーンで覆った義歯です。シリコーンの弾力により噛みしめた際の痛みが緩和され、義歯が外れにくく安定するのが特徴です。
・コンフォート義歯は公的医療保険が適用されない自由診療です。
・費用:自由診療の義歯の価格に加えて、1装置132,000円~165,000円
ジルコニア床義歯
金属床義歯の金属部分を、ジルコニアという強度のあるセラミックで製作した義歯で、金属床義歯と同等の薄さと強度を有します。金属をしていないため、金属アレルギーの方でも安心してご使用いただけます。

・ジルコニア床義歯は公的医療保険が適用されない自由診療です。
・費用:1装置495,000円
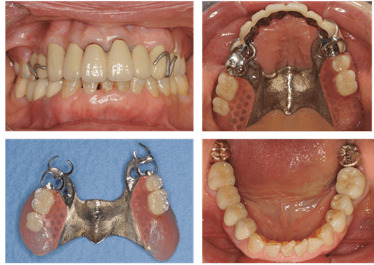
【部分床義歯による治療】
一部の歯を失った際に装着する義歯です。使用する材料、方法により様々なオプションがあります。
<症例>
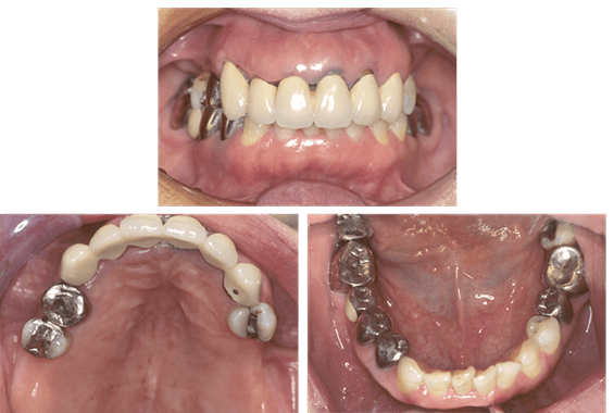
65歳女性。奥歯が抜けたままで、うまく噛めないため来院。部分床義歯による補綴治療を行った症例。
術前
術後5年
治療内容:上顎の臼歯部の入れ歯がなく、かぶせ物(クラウン)が合わない部分が認められました。歯周病治療やう蝕治療を行った後、かぶせ物と上顎金属床義歯を製作しました。
治療期間・回数:約2年間、20回(う蝕治療、歯周病治療期間を含む)
費用(自由診療を含む):約1,900,000円(上顎義歯費用:約310,000円)
リスク・副作用:歯周病、う蝕症、義歯の長期使用による人工歯の摩耗など
レジン床義歯(レジン床義歯)
レジン床義歯は公的医療保険が適用されます。(公的医療保険が適用されない材料もあります)
金属床義歯(部分床義歯)
義歯の一部を金属で作ることで、強度、装着感や審美性の改善を目指します。
費用:1装置210,000円~500,000円(歯の数や金具の数、使用する材料により費用が変わります)
【顎義歯】
腫瘍などにより失った顎などの一部を、義歯を用いて回復します。使用する材料、方法により様々なオプションがあります。
・顎義歯は公的医療保険が適用されます。(公的医療保険が適用されない材料もあります)
<症例>
82歳の女性。上顎の腫瘍切除後に装着した義歯があわなくなり、発音や咀嚼に支障をきたしたために顎義歯を製作した症例
治療前
治療後
治療内容:義歯が動揺し人工歯も摩耗していたために、旧義歯に代わってレジン床の上顎顎義歯と下顎総義歯を製作しました。
治療期間・回数:約3か月間、6回
費用:200,000円(本症例は自由診療で診療を行いました)
リスク・副作用:経年的な顎骨の吸収に対する調整の必要性、義歯を装着している違和感など
【口腔機能低下症】
「口腔機能低下症」とは、加齢だけでなく、疾患や傷害など様々な要因によって口腔内の「感覚」「咀嚼」「嚥下」「唾液分泌」等の機能が複合的に低下している疾患です。口腔機能の検査を行い、その結果に基づいた口腔機能の必要な管理を行っていきます。
咀嚼機能を計測する装置
舌の力を計測する装置
・口腔機能低下症の検査、管理は公的医療保険が適用されます。




