口腔インプラント科
03-5275-1760
診療科のご案内
1983年に東京歯科大学が日本で最初にオッセオインテグレーテッドインプラントの概念とその治療法を紹介して以来、口腔インプラント療法は急速な進歩を遂げ、現在では、咀嚼障害や審美障害の改善手段として、長期間にわたる良好な治療成績が確認されています。水道橋病院口腔インプラント科は2003年の開設以来インプラント治療を専門的に行い、最新の設備と経験豊富なスタッフの下、安心・安全な治療の実践を心がけております。
診療科の特色

エントランス

待合室

外来診療室

診療用チェア

手術室

コーンビームCT
主な対象疾患
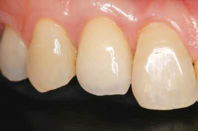
歯の欠損が少ない場合


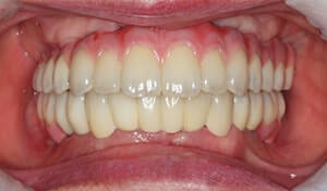
歯の欠損が多い場合

術前

術後
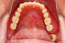
インプラントオーバーデンチャー



一般的なインプラント治療の流れ
|
全身状態や生活習慣、局所的な原因でインプラント治療ができない場合があります。また、事前に他の治療が必要となる場合もあります。総合的な検査から得られた診断結果をもとに、治療計画を相談します。 |
|
|
|
痛み止めの麻酔をして、あごの骨にインプラント(人工の歯根)を埋め込みます。手術に対して恐怖心がある方や全身状態に不安がある方では鎮静下(半分寝ている状態)で手術が受けられます。手術後は、通常、すぐにインプラントは使えません。骨とインプラントが結合するまで数ヵ月待ちます。 |
|
|
|
インプラントが骨と結合した後に仮歯を装着します。仮歯では歯の形態や周囲粘膜の状態を整えます。その後、その仮歯を参考にし、色についても相談しながら本歯を作製します。 |
|
|
|
インプラントで歯が回復できたとしても、治療が終わった訳ではありません。インプラントを長持ちさせるためには、日々のお手入れと定期診査によるメインテナンスが欠かせません。一般的には2~3回/年の来院が必要です。 |
インプラント治療と従来の治療法との比較






よくあるご質問
- インプラント治療に入院は必要ですか?
- 手術中は痛みを感じますか?
- 手術後、すぐに食事や仕事はできますか?
- 手術の後、気を付けることはありますか?
- 手術の後、気を付けることはありますか?
- 現在歯周病に罹っていますが、インプラント治療を受けることができますか?
- インプラント治療の欠点は何でしょうか?
- インプラント治療を受けた場合、MRIやCTによる画像診断への影響はありますか?









