小児歯科
03-5275-1723
診療科のご案内
小児歯科では主に初診時年齢 0歳~15歳までの小児を対象にしています。
子どもの口の中は、成長発育していくに従い様々に変化して行きます。その変化にあわせた適切な治療を行うことが、健全な発育に大切なことです。小児歯科では治療とともに定期診査を行い、予防、異常の早期発見、早期治療を行っています。
主な対象疾患
小児の口腔内の異常全般
齲蝕(虫歯)、歯肉炎(歯ぐきの炎症)、外傷(歯が欠けてしまった、折れてしまった、抜けてしまったなど)、過剰歯(歯の数が多い)、歯の先天性欠如(歯の数が少ない)、歯列異常(歯並び、咬みあわせが悪い)、萌出異常(歯が生えてこない、ずれたところから生えてきた)など
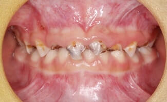
齲蝕(虫歯)


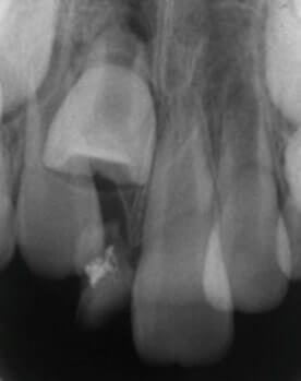
歯の外傷(転んだり、ぶつけたりして歯が欠けてしまった、抜けてしまった)

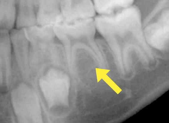
萌出異常(乳歯の裏から歯が生えてきた)

萌出異常(永久歯が乳歯に引っかかっている)


乳歯の晩期残存(乳歯がなかなか抜けない)


歯の先天性欠如(歯の数が足りない、不足している)

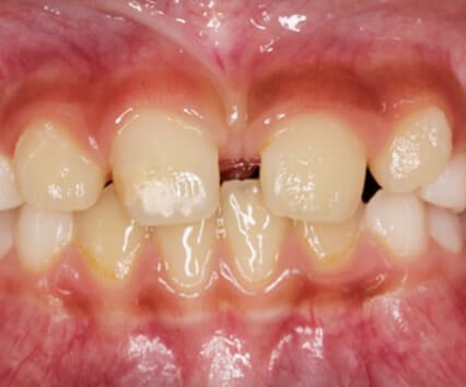
過剰歯(余計な歯がある、そのため歯並びに影響がある)


癒合歯(歯がくっついている、つながっている)

診療科の特色
小児歯科の専門医・指導医が中心となって治療を行っています。
虫歯の治療を行うだけでなく、年に数回の定期診査を行うことにより、予防処置や永久歯への交換期におこる異常にも適切な治療を行っています。
小児の歯の外傷についても多くの症例を経験しています。
歯並びの治療(矯正治療)は矯正歯科医とともに治療計画の立案、治療を行うことにより、総合的な治療を行っています。
低年齢児も多く来院しています。




