保存科
この診療科について
<歯内療法>
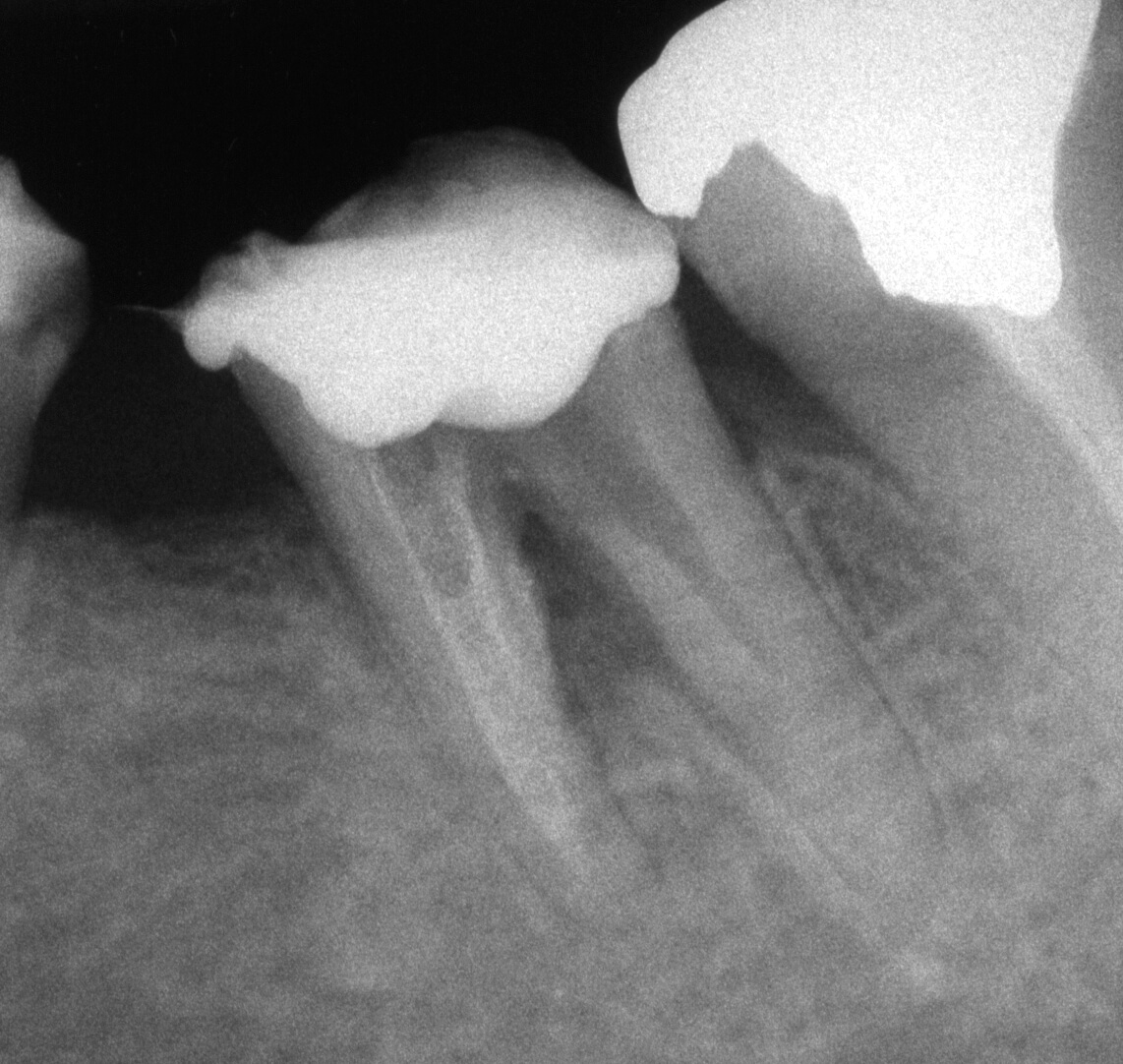
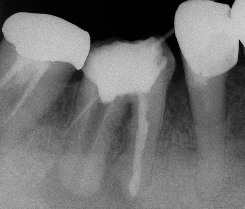
根管治療の予後不良(根の治療経過が思わしくない場合)
感染根管治療などの通常の治療を行っても、うまく治らないことも少なくありません。これらの原因としては、その歯の形態的な問題や、感染に関する問題、根の破折や偶発症の発生など様々なものがあります。このような歯では、通常の治療法だけでは治らないものも多く、外科処置などの特殊な治療法を行わなければならなかったり、やむを得ず抜歯に至ったりするケースもあります。いずれにせよ、通常の治療を続けても治りにくい場合は、精密な検査を行い再度診断する必要があります。
手術用顕微鏡を用いた治療
手術用顕微鏡を用いることにより、肉眼のみでは見ることのできないところを明確に観察しながら処置を行うことができます。 このことにより診断や処置の精度をより向上させることができます。歯の根の治療では通常の治療を行っても症状が改善されない場合に、 小さな根の先端部を外科的に切断除去したのち封鎖する手術(歯根端切除手術)を行うことがありますが、そのような精密な手術にも手術用顕微鏡はとても有効です。当センターでは平成19年4月より、 先進医療として、この歯根端切除手術を、診断精度の高いコーンビームCT(歯とその周囲のCT)と併用し行っていましたが、平成28年4月より保険導入されました。
<歯周療法>
歯周病とは、歯を支えている組織に炎症がおよび、歯が抜けてしまうだけでなく全身にも悪影響を及ぼす病気です。 正しい歯周治療を受けることにより歯が抜け落ちるのを防ぎ、自分の歯で食事することができます。
再生療法
歯周病の進行により、歯を支えている骨は溶けてしまいます。通常、一度失った骨は元に戻りませんが、ケースによっては再生療法によって骨の回復が可能となります。また、平成28年9月に、厚生労働省より承認を受け、最近、保険導入された、歯周組織再生剤「リグロス®」の使用も行っております。(その他にもいくつかの方法があります。)
歯周病によって失ってしまった歯周組織部位に、歯周組織再生剤を塗布することで骨組織を再生させます。
<修復>
虫歯で削った歯の型を採り、模型を作製して作るインレー修復は、上下の歯が効率よく食塊を砕くための精密な接触形態を再現することが可能な修復法です。保険診療で用いる材料は金属ですが、自由診療では歯と同じ色調のコンポジットレジンやセラミック(陶材)を用いることができます
施設認定
日本歯科保存学会研修施設
日本歯周病学会研修施設
専門医、指導医、認定医(2024.4.1現在)
| 氏名 | 専門医・指導医・認定医 | 学会名 |
|---|---|---|
| 森永 一喜 (非常勤) |
指導医 | 特定非営利活動法人日本歯科保存学会 |
| 〃 | 認定歯科医師 | 日本歯科薬物療法学会 |
| 〃 | 口臭認定医 | 日本口臭学会 |
| 〃 | ICD | |
| 藤井 理絵 | 認定医 | 特定非営利活動法人日本歯科保存学会 |
| 淺井 知宏 (非常勤) |
歯科保存専門医・指導医 | 日本歯内療法学会 |
| 〃 | 専門医 | 特定非営利活動法人日本歯科保存学会 |
| 〃 | 認定医 | 日本顕微鏡歯科学会 |
| 〃 | 専修医 | 公益社団法人日本口腔インプラント学会 |
| 宮吉 教仁 (非常勤) |
歯科保存専門医 | 日本歯内療法学会 |
| 〃 | 認定医 | 特定非営利活動法人日本歯科保存学会 |
| 〃 | 認定医 | 日本顕微鏡歯科学会 |
| 富田 幸代 | 専門医 | 特定非営利活動法人日本歯周病学会 |
| 色川 大輔 (非常勤) |
専門医 | 特定非営利活動法人日本歯周病学会 |





