嚢胞(のうほう)
嚢胞とは顎の骨の中などにできる袋状の病変のことです。
顎の骨の中にできるものと舌や下唇、頬などの軟組織にできるものにわかれます。
小さなものは通院下での治療が可能ですが、大きなものは入院下・全身麻酔下に治療を行うこともあります。
①顎の骨の中に発生する嚢胞
②軟組織に発生する嚢胞
③嚢胞の治療例
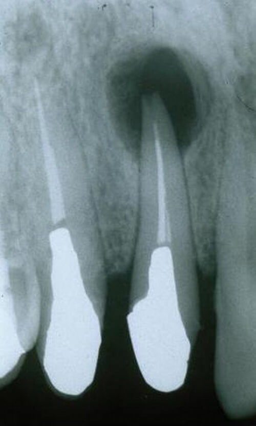
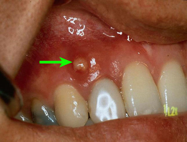
<歯根嚢胞に対する歯根端切除術+嚢胞摘出術>
歯の根の先に嚢胞ができ、歯茎に膿の出口を形成しています。
<歯根端切除術+嚢胞摘出術>
嚢胞と原因の歯の根の一部を一緒に摘出します。
※術後のレントゲンで嚢胞を摘出した部位に骨の形成を認めます。







