補綴科
この診療科について
主訴
- むし歯や打撲で歯が欠けた
- 歯が抜けて咬めない
- 義歯を治したい・作りたい
- 義歯がゆるい・落ちやすい・発音しにくい・咬みにくい
- 歯の色が悪い
- 咬み合わせが気になる
- 金属を使わずに治療したい(金属アレルギー)
- 歯並びが悪い
- 保険ではできない治療を受けたい
主な対象疾患と治療内容
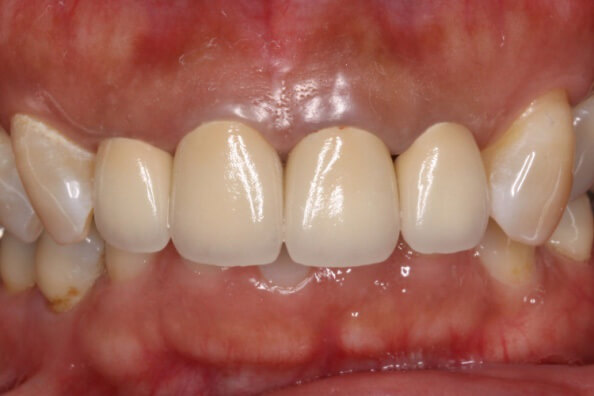
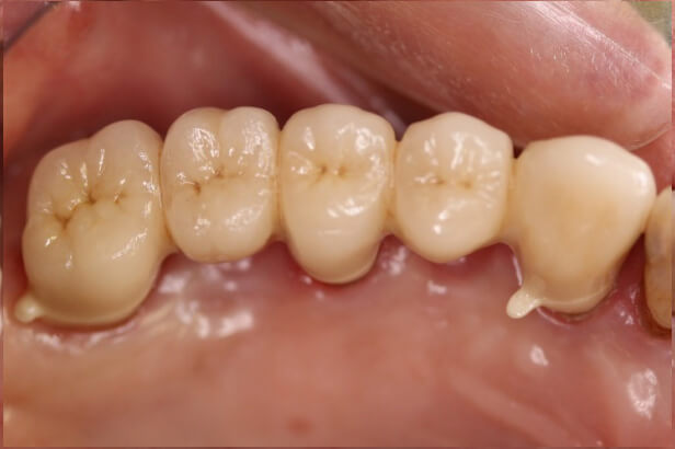
補綴科では虫歯や歯周病によって歯を失った方にはブリッジ(固定性の義歯)や義歯を用いて、歯が欠けたりすり減ったりしている方には、土台となる歯の形を整えた後、クラウン(かぶせ物)を用いて機能や見た目の回復を行います。また、修理や調整も行います。その他、がんなどのために失った顎の一部を義歯により回復します。
この診療科の特色
当科では一般的なクラウン・ブリッジ・義歯による治療の他に、次のような専門的な治療を行うことができます。(条件が合えば、短期間で完了する治療方法の選択も可能です。)
陶材焼付鋳造冠:歯の形・歯並び・色が悪く気になるときは、ポーセレンという歯の色を再現できる材料を用いて審美性を回復します。
オールセラミッククラウン:金属を使用せずに治療することによりアレルギーや歯冠色の再現性などの問題を解決します。
ラミネートベニア:歯の色が気になるときは、歯の表面をごく一層削ってポーセレンのシェルを貼り付けます。
金属床義歯(総義歯):義歯の一部に金属を使用することで、薄く丈夫になります。金属部分の厚みは、1mm以下です。
金属床義歯(局部義歯):樹脂でできた義歯(左)の一部を金属にする(右)ことで、義歯を小さく、そして薄くすることができ、違和感を大きく軽減できます。
特殊な義歯:磁石やゴムなどのアタッチメントを用いた義歯、チタン製など金属アレルギーに対応した義歯等、様々な義歯に対応しています。
顎義歯:がんなどにより失った顎などの一部を、義歯を用いて回復します。
インプラント上義歯:総義歯の方でも、2本のインプラントをお口に植立し(左)、義歯に加工をすることで(右)、外れにくく、咬みやすくなります。
施設認定
- 日本補綴歯科学会研修機関
- 日本老年歯科医学会研修施設
専門医、指導医、認定医(2022.4.1現在)
| 氏名 | 専門医・指導医・認定医 | 学会名 |
|---|---|---|
| 内山 宙(非常勤) | 認定医 | 一般社団法人日本老年歯科医学会 |
| 井戸川 香代(非常勤) | 認定医 | 公益社団法人日本補綴歯科学会 |








