親知らず
「智歯(親知らず)」は、上下顎左右合わせて4本あり、前から数えて8番目で一番奥の歯(第3大臼歯)です。20歳前後に萌出してくると言われています。そして、人によっては、欠損している歯、傾斜して埋まっている歯、完全に骨の中に埋まっている歯など様々な状態があります。
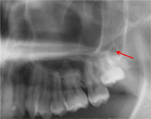
①上顎埋伏智歯
上顎の智歯(親知らず)が骨に埋まっている状態。(上顎洞近接)
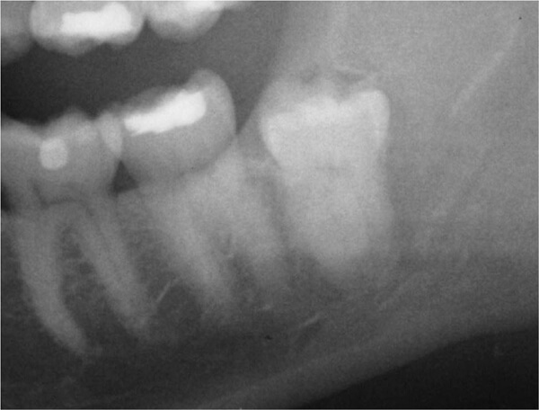
②下顎水平埋伏智歯
下顎の智歯(親知らず)が水平に埋まっている状態。
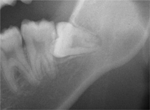
③下顎垂直埋伏智歯
下顎の智歯(親知らず)が骨に埋まっている状態。
さて、なぜ智歯(親知らず)を抜かなくてはならないのでしょうか?
奥歯(臼歯部)は、歯ブラシが届きにくく、清潔にしておくのは難しいため、食物残渣が停滞して、細菌感染を起こし易くなります。
親知らずの周囲に炎症がある状態を「智歯周囲炎」といいます。この状態を繰り返したり、長期間放置しておくと前の歯や歯周組織に悪影響を及ぼすことが考えらます。また、ひどくなると広範囲に炎症(炎症のページにリンク)が波及し、口が開きづらくなったり、稀ですが呼吸困難を起こすこともあります。
どの様な智歯(親知らず)は抜いたほうがよいのでしょうか?
- 智歯(親知らず)の周りの歯肉が腫れている
- 食べ物がよく詰まる
- 前の歯、智歯(親知らず)が虫歯になっている
- 智歯(親知らず)の周りに病巣がある
- 矯正治療のために抜歯を必要としている(原則として保険適用外となります)
などが挙げられます。
親知らずの抜歯は、上顎では上顎洞(鼻と交通している空洞)、下顎では下歯槽神経(下唇と唇の下の皮膚の知覚神経)に細心の注意を払い行っていきます。抜歯前に画像検査をし、智歯(親知らず)の状態の確認、どの様にして抜歯をするか計画を立てます。また、矯正治療の一貫で抜歯を要する方、全身疾患のある方の抜歯も行っています。歯科処置に恐怖心の強い方や全身疾患がある方には歯科麻酔医と連携し、精神鎮静法(点滴によりリラックスしている状態にする)で抜歯する方法もあります。場合によっては全身麻酔、入院下で処置をすることもあります。担当医が歯の状態、手技、合併症、治療期間など十分に説明をします。詳細は担当医までお願いします。
