口腔粘膜疾患
口腔粘膜疾患
口腔粘膜疾患とは口の中の粘膜(舌、歯肉、口蓋、頬など)が、白色や赤色に変色したり、水疱(水ぶくれ)ができたり、表面の凸凹、不整な形、ヒリヒリした痛みがあるなど様々な兆候を示します。これらのなかには、良性、悪性、または悪性に変化する病気もあります。治療は、投薬、歯や義歯(入歯)の調整などをして経過を診るものから、変化した組織を採取して顕微鏡の検査を行う場合もあります。その結果によっては、病変部を切除することもあります。現在、かかりつけ歯科では、歯だけではなく、口の中全体をチェックしますので定期的に通院しましょう。また、変化があれば、すぐにご相談下さい。
口腔粘膜疾患の例
白板症
口腔粘膜疾患にみられる、白い角化性の病変です。比較的頻度も高くみられ、まれに癌化することがあるため、前癌病変といわれています。
扁平苔癬
皮膚や粘膜にできる、角化性で炎症を伴う難治性の病変で、白い粘膜疹(ねんまくしん)がレース状にみられ、周囲が赤くなったりします。
口腔カンジダ症
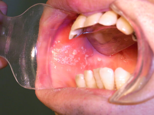
おもにカンジダ・アルビカンスという真菌(カビ)によっておこる口腔感染症です。口腔内に白苔を形成しますが、ガーゼで拭うと剥離可能です。しかし、中には剥離しにくいものもあります。
その他に、ウィルス疾患として口腔粘膜に多数の口内炎や水疱を形成するものもあります。





