腫瘍
口腔がんとは
口腔がんとは口の中や顎の骨、唾液腺などにできる腫瘍のうち、悪性のものをいいます。また、肝臓癌や肺癌などが口の中に転移することもあります。口腔がんのほとんど(80%)が扁平上皮癌というがんです。これは口腔内を覆っている粘膜が重層扁平上皮であり、そこにできたがんを指します。口腔がんは発生部位によって「舌がん」「歯肉がん」「口底がん」などと呼ばれています。口腔粘膜は絶えず食事や細菌、ウイルスなどによる刺激を受ける部位です。これらの刺激が蓄積されて発がんすると考えられています。口腔がんは日本で発症するがんの25%です。以前は50歳以上の男性に多いといわれておりましたが、最近では女性や若年者にもみられるようになってきています。世界的には口腔領域のがんは欧米諸国で減少傾向にあるのに対し、日本では増加してきています。
症状
初期の口腔がんは痛みや出血などの自覚症状を伴わないことも少なくありません。「口のなかに白い着色がある」、「口内炎がなかなか治らない」、「食べ物が飲み込みづらい」などの症状がしばらく続くようなら、専門医の受診をお勧めします。
最近のお口の中の変化について当てはまるものをチェックしてみて下さい。
- 1日たばこを40本以上吸う。
- 毎日日本酒を3合以上飲む。
- 口内炎が2週間以上治らない。
- 歯を抜いた傷が2週間以上治らない。
- 頬や舌などを噛んだ傷が治らない。
- 入れ歯があたってできた傷が治らない。
- 最近歯が浮くような感じがする。
- 口の中に白っぽいできものがある。
- 口の中が赤くただれて治らない。
- 口の中にしこりがある。
- 舌が動かなくなった。
- 口が開かなくなった。
- 下唇や舌がしびれる。
たくさんの項目に該当する場合には専門医での検査を受けましょう。
<注意>
口腔がんは直接目でみることができます。
しかし、口腔がんの診断には専門医の目が必要なのです。早く発見できれば充分に治すことができます。不安な方は、かかりつけの歯科医師に相談しましょう。
代表的な口腔がん
舌がん
口腔がんの中でもっとも多いものです。
舌の脇(舌縁)に多く発生します。誤って舌を噛んでしまったり、あわない入れ歯があたっていたり、むし歯を治療せずにたえず舌に傷をつくったりすることがきっかけになることがあります。
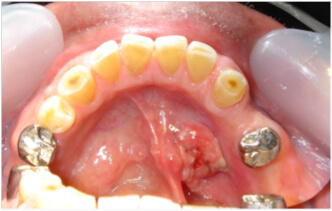
歯肉がん
口底がん
頬粘膜がん
診断
口腔がんの検査には、細胞を診る検査(細胞診)と組織を一部切除して診る検査(病理組織診)があります。細胞診は、細胞に異常があるかないか(異型度)を判別し、その病気が悪性かどうかをチェックする方法です。体に負担がかからず、痛みの少ない検査です。ただし、この検査ではがんかどうかの確定診断はつきません。確定診断には病理組織診を行う必要があります。病理組織診は、局所麻酔を行って、組織を一部分もしくは全部切り取って調べる検査です。
治療
がんの治療には、「手術」、「放射線療法」、「化学療法」などがあります。これらを単独もしくは組み合わせて治療を行います。口腔がんはほとんどのものが「手術」による病変の切除が中心になります。口腔がんは進行にともない、頸部のリンパ節に転移をします。各検査により転移が疑われる場合には、頸部にあるリンパ節を周囲の脂肪組織と一緒に切り取る「郭清術」が必要になることがあります。さらに進行がんでは、手術以外にも「放射線療法」や「化学療法」を組み合わせる場合もあります。放射線治療施設は当センターにありませんので、近隣の施設との連携を行ったり、当大学が設置している「口腔がんセンター」(東京歯科大学市川総合病院内)での治療を行います。どのような治療法を選択するかについては、病気の進行にもよりますが、患者様と担当医との十分な説明同意のもとに治療を行っていきます。また、口腔は日常生活において、食事摂取や呼吸など重要な機能を担っています。術後これらの機能の回復を図るため、再建術を行うことがあります。再建術とはお腹や胸の皮膚や腕の皮膚などを用いて口の中病気を取った後の欠損を補うものです。
治療成績
日本の口腔・咽頭がんの平均5年生存率は50.4%といわれております。当センターでの口腔がん治療例についての進行期別5年生存率を示します。
良性腫瘍
当科であつかう良性腫瘍には、歯原性腫瘍(歯をつくる組織からなる腫瘍)、非歯原性腫瘍(その他の腫瘍)、唾液腺腫瘍(唾液腺をつくる組織からなる腫瘍)があります。
歯原性腫瘍
非歯原性腫瘍
| 歯に関係ない腫瘍で、からだのほかの部分にできるものと同じと考えられます。きわめて種類が多く、顔面やあご、さらに口の中にもできます。 例えば、線維種、血管腫、乳頭腫、リンパ管腫、骨腫、筋腫等さまざまなものがあります。 |
|
![]() |
![]() |
唾液腺腫瘍
一般に境界が明瞭で硬く、少しずつ大きくなるため、発見しにくいこともあります。耳下腺、顎下腺、舌下腺のほか、口蓋などにも発生することがあり、悪性の腫瘍もあります。








